コンテンツへスキップ
ナビゲーションに移動
ブログ
ホーム
HOME
はじめての方
BEGINNER
医院紹介
CLINIC
院長・スタッフ紹介
STAFF
診療案内
MEDICAL
虫歯治療
歯周病治療
小児歯科
口腔外科
矯正歯科
インプラント治療
審美治療
入れ歯
フルマウス治療
メンテナンス
マタニティ歯科
診療時間・アクセス
ACCESS
料金表
PRICE
ブログ
BLOG
Instagram
@ohki_yokkaichi
審美歯科
実際の治療例(症例紹介)
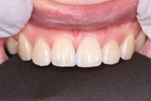
【症例紹介】ダイレクトボンディングで正中離開(スキッパ)を改善
2025年11月13日
前歯のコンプレックスを短時間で解消 概要 診断と治療方針 診断内容: 上顎の中切歯(前歯)に正中離開(歯と歯の間に隙間が...
続きを読む
HOME
ブログ
審美歯科
近鉄四日市駅東口から徒歩1分
MENU
ホーム
HOME
はじめての方
BEGINNER
医院紹介
CLINIC
院長・スタッフ紹介
STAFF
診療案内
MEDICAL
虫歯治療
歯周病治療
小児歯科
口腔外科
矯正歯科
インプラント治療
審美治療
入れ歯
フルマウス治療
メンテナンス
マタニティ歯科
診療時間・アクセス
ACCESS
料金表
PRICE
ブログ
BLOG
Instagram
@ohki_yokkaichi
PAGE TOP