残存歯の健康寿命を延ばす
インプラント治療によって、重度の歯根破折を伴う欠損部位に噛み合わせを支える柱を再建し、残存歯の健康寿命を延ばした症例をご紹介します。
概要
年代・性別:
50代の男性
主訴(来院のきっかけ):
1週間前に右下7番(奥歯)の被せ物(FMC)が外れたこと。痛みはありませんでした。
初診時の口腔内の状態:
・主訴である右下7番は、コアごと脱離しており、歯根破折を認めました。
・パノラマレントゲン写真では、左下6番にも歯折と周辺の骨吸収が認められました。
・全体的にカリエス(虫歯)が多く、非常にカリエスリスクが高い状態でした。
診断と治療方針
診断内容:
主訴部位(右下7番)および左下6番の状態から、診断名は歯根破折、抜歯適用と診断されました。
考えられる治療法の選択肢:
患者様はインプラント治療を検討されていました。治療選択の重要なポイントは、歯の破折に至った原因を解消し、長期的に口腔内全体の健康を維持することでした。
選択した治療法とその理由:
現状の口腔内や今後の治療計画、費用について相談した上で、全身の健康状態も確認し、抜歯後は、骨・軟組織の治癒を待って、インプラント治療を行いました。今回は2本のインプラントを埋入しました。選択の理由は以下の3つです。
- 力の分散と破折リスクの軽減:
破折の原因は虫歯だけではなく、神経を失った失活歯に過度な力が加わることでも起こります。欠損を放置すると噛む力のバランスが崩れ、周囲の残存歯にも負荷が集中して破折リスクが高まると考えられました。 - インプラントで咬合支持を確保し、力を分散:
インプラントで噛み合わせを支える柱を増やすことで、咬合力の偏りを改善し、天然歯への負担を軽減します。これにより、残存歯の保護と長期的な口腔内の安定を図る目的で治療を選択しました。 - 破折原因の除去(力のコントロール)が必要:
今回の破折には「力」の影響が大きく関与していたため、咬合力の分散という原因除去が治療には不可欠と判断しました。
治療の流れ
インプラント治療をいきなり始めるのではなく、まず初期治療を徹底的に行いました。
治療の主なステップ:
- 初期治療:
抜歯、その他の歯の虫歯治療、TBI(歯磨き指導)、スケーリングなどのOH(口腔衛生)レベルの改善をしっかりと行いました。 - 抜歯と治癒期間:
抜歯後、骨・軟組織の治癒を待つため、約3ヶ月間の待機期間がありました。 - インプラント埋入:
GBR(骨再生誘導法)を含めたインプラント埋入処置を実施しました。 - 上部構造の装着(ファイナルセット):
インプラント体に最終的なセラミック素材の上部構造をセットしました。
期間・来院回数:
治療期間は、初診からファイナルセットまで約半年でした。(GBRなども含む)
来院回数は、インプラント治療関連だけで見ると、抜歯、1オペ、2オペ、印象、セットで、回数は約5回程度でした。
治療のこだわりポイント
大木歯科・矯正歯科 四日市では、単に歯の治療を行うのではなく、治療後の機能性と審美性、そして長期的に健康を維持できる口腔環境づくりを重視しています。
そのために、科学的根拠に基づいた診断と治療を徹底し、患者様にとって最適な治療結果を追求しています。
- 原因の徹底的な除去:
とくに侵襲性の高いインプラント治療を行う際には、まず歯を失った原因(カリエスや力の問題など)の除去を徹底することが重要です。今回は、その原因をしっかり取り除いた上で、インプラント治療に臨みました。 - 患者様のモティベーション向上:
治療の効果を高め、長期予後を安定させるため、患者様のモチベーションや口腔衛生レベルの向上を図り、そのための説明に十分な時間をかけました。 - 使用材料の選択
インプラントの上部構造には、長期予後において優れているという文献的根拠に基づき、セラミック素材を使用しました。 - 骨造成(GBR)の実施:
歯根破折により周辺に骨吸収が起こっていたため、骨の不足を補うためのGBRも含めて、インプラント治療を実施しました。
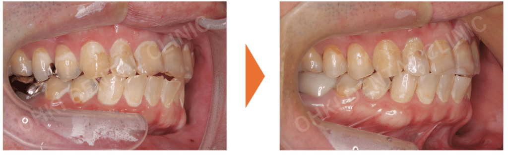
治療結果
Before / After の比較:
治療前と比べて、上の前歯の正中離開(スキッパ)は改善されました。






仕上がりの特徴
- インプラントを埋入したことにより、噛む機能が回復したことが大きな結果です。
- 噛み合わせの柱が再建されたことで、今後、残存している歯の破折リスクや負担が軽減されました。
- 歯が抜けたままの状態ではなく、天然歯に似た形態でセラミック素材の上部構造を作製したため、見た目(審美面)も改善し、歯が再生したような状態を実現できました。
費用・期間・リスク
治療費(税込):
インプラント2本とGBR代を含め、約120万円に収まっています。
治療期間:
GBRの待ち期間を含め、約半年でした。
リスク・副作用 :
・外科処置であるため、術後に痛みや腫れを伴う可能性があります。
・下顎にインプラントを埋入しているため、稀に下顎の知覚麻痺といったリスクが発生する可能性があります。
・長期的に、メンテナンスが不十分な場合、インプラント周囲炎になるリスクがあります。
・インプラントの構造体(上部構造など)が強い衝撃で欠けたり割れたりするリスクがあります。
まとめ
治療全体の振り返り:
歯根破折を長期間放置すると、破折した歯だけでなく、周囲の歯周組織や骨、歯肉が退縮・吸収してしまうリスクがあります。骨吸収が進んだ状態で後からインプラントを行おうとしても、GBRなどの追加処置が必要になったり、最悪の場合インプラント自体ができなくなる可能性があります。重度の細菌感染や骨吸収を促す状態であれば、早めに抜歯して歯が悪くなる原因を除去しておくことが重要です。
同じ悩みを持つ方へのメッセージ:
インプラント治療は「怖い」「痛い」といったイメージを持たれがちですが、術中の痛みはほとんどなく、1本の治療であれば30分程度で完了することもあります。近年では、特別大掛かりな手術ではなくなってきていますので、同じようなお悩みがある方は、大木歯科・矯正歯科 四日市へご相談ください。
大木歯科・矯正歯科 四日市の強みと姿勢
当院では、単に歯がない部分にインプラントを入れるだけでなく、歯が悪くなった根本的な原因をトータルでサポートすることを重視しています。患者様が今後ご自身で口腔内を健康に保てるよう、適切な情報提供やケアを行い、長きにわたって健康的なお口の中をサポートするお手伝いをさせていただきます。

この記事の編集・責任者は歯科医師の山下 陽次朗です。

